Real Patients. Real Results. Real Smiles.

Every smile in this gallery belongs to someone who was once right where you are now — unsure, frustrated, and ready for a change.

/ SEE THE DIFFERENCE

What a New Smile Actually Looks Like

These photos show real transformations from real patients at Renew Implant Centre. From broken, painful teeth to confident, natural-looking smiles — each case was completed by Tom and his team, right here in our Orléans clinic. Every patient's journey started the same way yours can: with a free consultation.

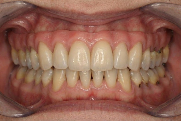
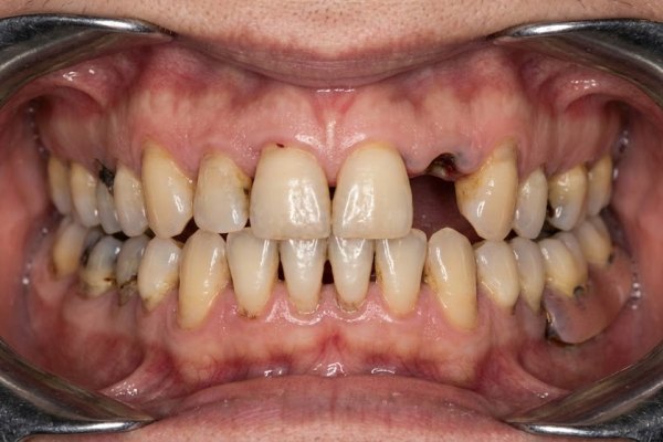
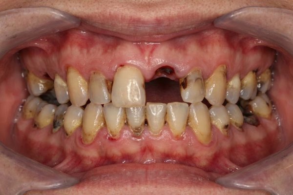
Before: patient with failing upper teeth After: full upper arch restored with All-on-4
Before After
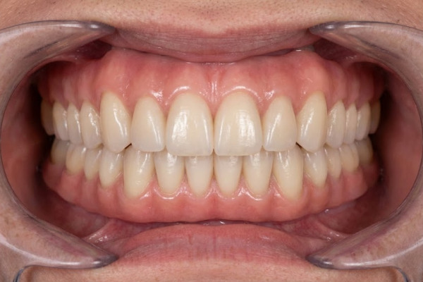
All-on-4 Full Arch Restoration
Full upper arch restored with All-on-4 implants. Treatment completed in one day.
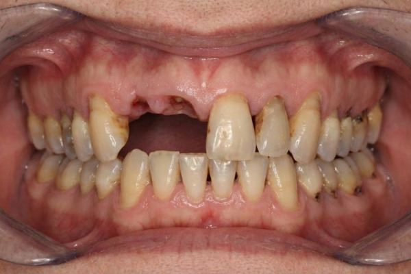
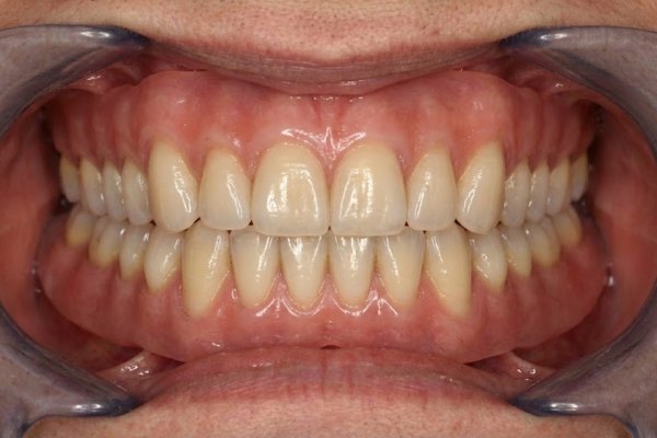
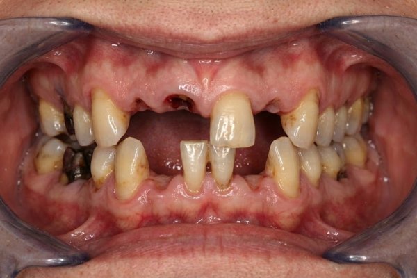
Before: patient needing complete restoration After: complete upper and lower restoration
Before After
Full Arch Dental Implants
Complete upper and lower restoration using full arch implants.
Before: patient with failing removable dentures After: implant-retained snap-on denture
Before After
Snap-On Denture Alternative
Implant-retained snap-on denture replacing failing removable dentures.
Before: patient with loose lower dentures After: lower arch restored with All-on-4
Before After
All-on-4 Lower Arch
Lower arch restored with All-on-4 implants. Patient went from loose dentures to fixed, permanent teeth.
/ IN THEIR OWN WORDS

What It Feels Like to Smile Again

Talk about life changing! Tom and his team changed my life. I can eat anything I want, no more pain, and never see that look in people's eyes when they see your teeth. Thank you for a truly life changing experience!
Ken M. Ottawa, ON
Tom has revived my smile and confidence. I honestly feel like family! I 100% recommend Renew for your denture needs!
Nick B. Ottawa, ON
I'm so happy I had this procedure done. I should have done this years ago.
Stephen E. Ottawa, ON
/ COMMON QUESTIONS

Questions About Our Results

Every patient's case is unique, but these photos represent the kind of transformations we achieve regularly at Renew. During your free consultation, we'll assess your specific situation and show you what's realistically possible for you.

Many of our treatments — including All-on-4 — can be completed in a single day. You can walk in with broken or missing teeth and leave with a full, natural-looking smile. Learn more about same day dental implants.

Absolutely. Every restoration is custom-designed in our onsite lab using 3D scanning and digital milling to match your facial structure and desired appearance. The result looks, feels, and functions like natural teeth.

Your Transformation Starts With a Conversation

Book a free, no-obligation consultation. We'll show you what's possible — with real examples, clear pricing, and zero pressure.

Call Now Get Directions